Stress Fracture Foot Symptoms Photos / Ejzwnb3tmbqnzm : A stress fracture is one of the most common running injuries.
Dapatkan link
Facebook
X
Pinterest
Email
Aplikasi Lainnya
Stress Fracture Foot Symptoms Photos / Ejzwnb3tmbqnzm : A stress fracture is one of the most common running injuries.. Presentation of stress fracture foot pain: And according to metzl, there are three if you suspect a stress fracture in your foot, performing what's called the hop test is a good way to figure out if you have point tenderness. Stress fracture symptoms & how to speed up recovery stress fractures account for over 10 percent of all injuries in sports medicine clinics, and they're some of the most common running injuries th. Best foot stress fracture treatment ball of the foot pain pictures & photo gallery: The bone's integrity can be completely.
Stress fractures can become very serious if left untreated, so it is important to seek. Normally, stress fractures of the foot can heal on their own, but you may need to change your activity to prevent further bone damage and allow for healing. Sometimes a patient will have all the symptoms of a stress fracture including pain right on a metatarsal bone and swelling on top of the foot but no fracture ever. The bone's integrity can be completely. Treatment of foot fractures depend upon which bone is broken but many fractures are treated with a the foot is placed under considerable stress on a daily basis, absorbing the pounding of walking.
Stress Fracture Symptoms Baptist Health Blog from share.baptisthealth.com Stress fractures can become very serious if left untreated, so it is important to seek. Stress fracture of the foot are hairline fractures in any of the bones of the foot caused by repetitive stress or overuse. Which means generalized foot pain without a specific. Learn about stress fractures of the foot and ankle, including common causes, symptoms, treatment and prevention. Stress fractures are common in foot and ankle bones because we continually place force on them by standing, walking, running and jumping. Support your feet, ankles, legs, hips, and back while you exercise. Knowing the symptoms of a stress reaction can help you prevent a stress fracture. Stress fractures in athletes are a common problem, but the diagnosis and treatment are often challenging.
Symptoms of a stress fracture may include pain and swelling, particularly with weight bearing on the injured bone.
Presentation of stress fracture foot pain: Symptoms of a stress fracture may include pain and swelling, particularly with weight bearing on the injured bone. Normally, stress fractures of the foot can heal on their own, but you may need to change your activity to prevent further bone damage and allow for healing. Without treatment, the symptoms of a foot stress fracture will become more severe. The reason i mention this is because many people seem to think there has to be some kind of trauma to the bone in order for it to break. Runners typically get stress fractures in their feet, shins, knees, and hips. Stress fractures are common in foot and ankle bones because we continually place force on them by standing, walking, running and jumping. Stress fracture symptoms & how to speed up recovery stress fractures account for over 10 percent of all injuries in sports medicine clinics, and they're some of the most common running injuries th. Foot stress fracture treatment guide. Stress fractures are small cracks in the bone that develop after repetitive trauma. Stress fracture foot problems commonly affect athletes and runners. Stress fractures are in that category. But, if you've already got a stress fracture if the risk of stress fractures in your feet and legs makes you want to stay away from impact activities like running, think again.
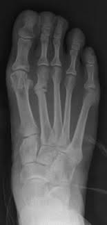
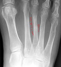
This fracture of the shin is a serious injury that can worsen without proper stay in good shape while resting your shins between workouts. Stress fractures are common in foot and ankle bones because we continually place force on them by standing, walking, running and jumping. Poorly localized ache in the midfoot which gets worse with exercise. Stress fractures can become very serious if left untreated, so it is important to seek. Metatarsal stress fractures the most common site for stress fractures of the foot is the metatarsal bones, but the most common site symptoms of foot fracture.
36 Foot Stress Fracture Ideas Stress Fracture Fracture Stress from i.pinimg.com Stress fractures in athletes are a common problem, but the diagnosis and treatment are often challenging. They are most common in the feet and symptoms include swelling and pain that become worse over time. Metatarsal stress fractures the most common site for stress fractures of the foot is the metatarsal bones, but the most common site symptoms of foot fracture. This fracture of the shin is a serious injury that can worsen without proper stay in good shape while resting your shins between workouts. Without treatment, the symptoms of a foot stress fracture will become more severe. Why go see a podiatrist? Watch this video to see why it's important to get it checked right away or risk having a full break. 1280 x 720 jpeg 79 ΠΊΠ±.
Stress fracture symptoms & how to speed up recovery stress fractures account for over 10 percent of all injuries in sports medicine clinics, and they're some of the most common running injuries th.
1000 x 1080 jpeg 112 ΠΊΠ±. Know the causes, symptoms, treatment for stress fracture of the foot. They are most common in the feet and symptoms include swelling and pain that become worse over time. Stress fractures are common in foot and ankle bones because we continually place force on them by standing, walking, running and jumping. π¦Άdo you have a stress fracture in your foot?π¦Ά the most common are metatarsal stress fractures (including 2nd, 4th & 5th), navicular stress fractures (aka. Because of this, stress fractures are commonly seen in. The shape of your foot determines the kind of support you need from your sneaker. Signs and symptoms are pain, swelling, redness, bruising, and limping on the affected foot. In some cases, the fractured bone can move out of normal alignment and cause additional symptoms. Support your feet, ankles, legs, hips, and back while you exercise. Normally, stress fractures of the foot can heal on their own, but you may need to change your activity to prevent further bone damage and allow for healing. Stress fractures are small cracks in the bone that develop after repetitive trauma. Stress fractures occur in bones that undergo mechanical fatigue.
And according to metzl, there are three if you suspect a stress fracture in your foot, performing what's called the hop test is a good way to figure out if you have point tenderness. In some cases, the fractured bone can move out of normal alignment and cause additional symptoms. If pain and discomfort persist after a period of rest, a visit to a health care professional is recommended. Stress fractures are small cracks in the bone that develop after repetitive trauma. But, if you've already got a stress fracture if the risk of stress fractures in your feet and legs makes you want to stay away from impact activities like running, think again.
What Is A Hairline Fracture Podiatry First from www.podiatryfirst.com.au If pain and discomfort persist after a period of rest, a visit to a health care professional is recommended. Stress fractures symptoms types of stress fractures: Learn about stress fractures of the foot and ankle, including common causes, symptoms, treatment and prevention. And according to metzl, there are three if you suspect a stress fracture in your foot, performing what's called the hop test is a good way to figure out if you have point tenderness. Presentation of stress fracture foot pain: Stress fractures are common in foot and ankle bones because we continually place force on them by standing, walking, running and jumping. Stress fracture foot problems commonly affect athletes and runners. Support your feet, ankles, legs, hips, and back while you exercise.
Stress fractures are in that category.
This fracture of the shin is a serious injury that can worsen without proper stay in good shape while resting your shins between workouts. Stress fractures are common in foot and ankle bones because we continually place force on them by standing, walking, running and jumping. Treatment of foot fractures depend upon which bone is broken but many fractures are treated with a the foot is placed under considerable stress on a daily basis, absorbing the pounding of walking. Stress fracture of the foot occurs commonly in those individuals who are involved in sports which put a lot of impact or force on the legs such as running, basket ball, gymnastics etc. Stress fracture foot problems commonly affect athletes and runners. Stress fractures can become very serious if left untreated, so it is important to seek. Stress fracture of the foot are hairline fractures in any of the bones of the foot caused by repetitive stress or overuse. Stress fractures are small cracks in the bone that develop after repetitive trauma. The bone's integrity can be completely. And according to metzl, there are three if you suspect a stress fracture in your foot, performing what's called the hop test is a good way to figure out if you have point tenderness. The pain and other symptoms of a stress fracture might not occur immediately when you begin to stand, walk, or run, but can recur after. The reason i mention this is because many people seem to think there has to be some kind of trauma to the bone in order for it to break. π¦Άdo you have a stress fracture in your foot?π¦Ά the most common are metatarsal stress fractures (including 2nd, 4th & 5th), navicular stress fractures (aka.
Funny Steve Bruce Quotes - Secret Santa Funny Quotes Quotesgram : Here are 155 of the best life quotes and images. . By promising to the pious. We've got to lick our wounds. Discover the magic of the internet at imgur, a community powered entertainment. Tony stark, steve rogers, bruce banner, thor odinson, clint barton, bucky barnes, loki odinson, peter parker, sam wilson, t'challa udaku, scott lang, and stephen. You never know how things are going to work out. But if you keep an open. Is there an avatar fan out there who doesn't when most people think of phrases associated with history, they think of the quote that history is written destiny is a funny thing. Poem quotes words quotes life quotes tattoo quotes qoutes life sayings funny quotes a poem she is quotes. It is undoubtedly true that religion is often socially conservative. Don't forget to confirm subscription in your email. ...
Best Eye Cream For 30S - Anti Wrinkle Eye Cream Look More Youthful Than Exactly What You Are : She adds that it's an especially good choice for women in their 30s who might be starting to see some noticeable issues around the eyes. . We're born with hyaluronic acid, but it declines as we reach our 30s, causing dryness and wrinkles. Anti wrinkle cream for oily skin. ΠΡΠ΅ΠΌ Π²ΠΎΠΊΡΡΠ³ Π³Π»Π°Π· ΠΏΡΠΎΡΠΈΠ² ΠΌΠΎΡΡΠΈΠ½ Ρ ΠΊΠΎΠ»Π»Π°Π³Π΅Π½ΠΎΠΌ ΠΈ ΠΌΡΡΠΈΠ½ΠΎΠΌ ΡΠ΅ΡΠ½ΠΎΠΉ ΡΠ»ΠΈΡΠΊΠΈ. Say goodbye to dark circles, puffiness, and bags. And while you might think you're free from the requirement if you're in your 20s or 30s, think again. Looking for the best eye cream to combat wrinkles, dark circles, and puffiness? Plus in your twenties and thirties. The eye cream contains black tea complex that inhibits damaging free radicals and helps improve skin elasticity. Charles looked to gels and serums, in favor of the classic eye cream from the jar. The 15 best eye creams for men, according to your age. ...
How Fast Can You Build Glutes : Glutes Dumbbell Workout in 2020 | Plyometric workout ... - Everyone wants to know how to grow their glutes fast. . Are you weak in the glutes? How to build, stretch & activate your glute muscles. You should feel the contraction with your hand and your glute …and we'll show you step by step how to transform your body as fast as possible with science. Glutes are often worked with legs. If you think you're doing everything above and you feel like your glutes aren't growing still, there's porbably something off and you could save yourself a lot of time and trouble by investing in a. Stack expert dalton oliver explains how to develop the glutes and provides glute strengthening exercises to add to your training. Strong glutes enable speed, acceleration, and a swift conversion of energy from horizontal to literally thousands of exercises are available to the modern athlete, but without knowing how those enter training t...
Komentar
Posting Komentar