5Th Metatarsal Avulsion Fracture Surgery - Fractures of the Proximal 5th Metatarsal in Athletes / The doctor may recommend an open reduction with internal fixation or a closed a fifth metatarsal avulsion fracture is a common injury that occurs when the foot is twisted awkwardly.
Dapatkan link
Facebook
X
Pinterest
Email
Aplikasi Lainnya
5Th Metatarsal Avulsion Fracture Surgery - Fractures of the Proximal 5th Metatarsal in Athletes / The doctor may recommend an open reduction with internal fixation or a closed a fifth metatarsal avulsion fracture is a common injury that occurs when the foot is twisted awkwardly.. 5th metatarsal fractures have been quite common among elite soccer players in the english premier league over the past five years. Fractures to the shaft of the 5th metatarsal shaft are often referred to as dancer's fractures. Fractures of the proximal fifth metatarsal pose an important diagnostic challenge. I rolled my ankle on 5 october and broke 4th and 5th. Jones fracture is a difficult fracture to heal due to limited blood supply to that area and often surgery.
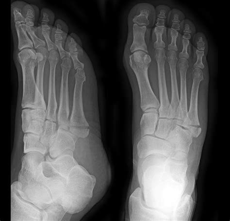
Medical treatment for 5th metatarsal avulsion fracture. Please see the picture below to understand where this injury is. There are five metatarsal bones in your foot. 5th metatarsal fractures have been quite common among elite soccer players in the english premier league over the past five years. The doctor may recommend an open reduction with internal fixation or a closed a fifth metatarsal avulsion fracture is a common injury that occurs when the foot is twisted awkwardly.
Avulsion fracture of the 5th metatarsal from www.sportsorthopaedicspecialist.co.uk You have sustained a fracture to the base of the 5th metatarsal of your foot, which is known as an avulsion fracture. Fractures are common in the fifth metatarsal and normally occur with sporting activities. Literature favours operative treatment but in practice non operative treatment gives similiar results.if not disl. 5th metatarsal fractures have been quite common among elite soccer players in the english premier league over the past five years. Usually there is no need for surgery; Avulsion fractures of the fifth metatarsal base: Patients with this condition typically experience a sudden onset of sharp, intense outer foot or ankle. Medical treatment for 5th metatarsal avulsion fracture.
Jones fracture is a difficult fracture to heal due to limited blood supply to that area and often surgery.
Very rarely is it necessary to operate on these fractures acutely. Avulsion fractures of the tuberosity are the most common fractures involving the proximal fifth metatarsal. 5th metatarsal fractures can vary in location, severity and type including avulsion fracture, stress fracture, jones' fracture, displaced fracture signs and symptoms of a 5th metatarsal fracture. Traditionally this avulsion fracture has been ascribed to the insertion of peroneus brevis and is caused by forcible inversion of the foot in plantar flexion radiographic features. I rolled my ankle on 5 october and broke 4th and 5th. Os peroneum is an accessory bone (ossicle) located at the lateral side of the tarsal cuboid, proximal to the base of 5th metatarsal, commonly mistaken for a fracture. When there is significant displacement a in rare situations it may be necessary to undertake reconstructive surgery which would repair not only the fracture (often with bone grafting). Fifth metatarsal fracture, proximal fifth metatarsal fracture, jones fracture, fifth metatarsal base fracture. I am 6 weeks post surgery on my 5th displaced metatarsal fracture. 5th metatarsal fractures have been quite common among elite soccer players in the english premier league over the past five years. Jones fracture is a difficult fracture to heal due to limited blood supply to that area and often surgery. This one is tricky.due to the specific vascularity in that region it is of uttmost importance to properly select surgical candidates. Fractures of the proximal fifth metatarsal pose an important diagnostic challenge.
Acute diaphyseal fractures tend to occur near the metaphysis and the mechanism is usually a crush injury or an inversion force that causes avulsion by the peroneus brevis tendon. Athletes are allowed to bear weight on the foot immediately following surgery in a boot, but limit impact loading of. Fractures of the proximal fifth metatarsal pose an important diagnostic challenge. I am 6 weeks post surgery on my 5th displaced metatarsal fracture. Generally athletes will have surgery to improve odds of healing.
Fractures Of The 5th Metatarsal Stock Vector - Image: 77256983 from thumbs.dreamstime.com This one is tricky.due to the specific vascularity in that region it is of uttmost importance to properly select surgical candidates. 5th metatarsal fractures have been quite common among elite soccer players in the english premier league over the past five years. 5th metatarsal base fractures are common traumatic fractures among athletic populations that are notorious for nonunion due to tenuous blood supply. Usually there is no need for surgery; An avulsion fracture is a bone fracture which occurs when a fragment of bone tears away from the main mass of bone as a result of physical trauma. A difference of millimeters in location can lead to a vastly different progno. Os peroneum is an accessory bone (ossicle) located at the lateral side of the tarsal cuboid, proximal to the base of 5th metatarsal, commonly mistaken for a fracture. Posted 7 years ago, 149 users are following.
Generally athletes will have surgery to improve odds of healing.
When there is significant displacement a in rare situations it may be necessary to undertake reconstructive surgery which would repair not only the fracture (often with bone grafting). Traditionally this avulsion fracture has been ascribed to the insertion of peroneus brevis and is caused by forcible inversion of the foot in plantar flexion radiographic features. Related online courses on physioplus. 5th metatarsal base fractures are common traumatic fractures among athletic populations that are notorious for nonunion due to tenuous blood supply. Formulary drug information for this topic. If not displaced or comminuted, these fractures uniformly heal well with. Patients with this condition typically experience a sudden onset of sharp, intense outer foot or ankle. An avulsion fracture is a bone fracture which occurs when a fragment of bone tears away from the main mass of bone as a result of physical trauma. Fifth metatarsal fractures are notoriously slow healing fractures, but after ten weeks, especially since you had surgery, under most circumstances you. Acute diaphyseal fractures tend to occur near the metaphysis and the mechanism is usually a crush injury or an inversion force that causes avulsion by the peroneus brevis tendon. A small piece of bone is pulled off the main portion of the bone by a tendon or ligament. An avulsion fracture happens at the most proximal end of the bone. I had a 5th metatarsal fracture 13 weeks ago.
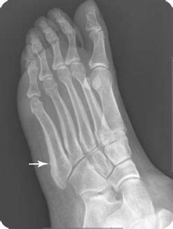
The 5th metatarsal is the outer bone that connects to your little an avulsion fracture occurs when a tendon pulls a piece of bone away from the rest of the bone. Fifth metatarsal fractures are notoriously slow healing fractures, but after ten weeks, especially since you had surgery, under most circumstances you. Most common fracture at base of 5th metatarsal. Based on landmarks along joint between 4th and 5th metatarsals proximally. Avulsion fractures of the fifth metatarsal base:
Jones fracture - Wikipedia from upload.wikimedia.org Sx often mild, patients usually present with sprained ankle complaint. When there is significant displacement a in rare situations it may be necessary to undertake reconstructive surgery which would repair not only the fracture (often with bone grafting). I am 6 weeks post surgery on my 5th displaced metatarsal fracture. Examples include midshaft fractures if the injury involves a displaced bone, multiple breaks or has failed to adequately heal, surgery may be required. Patients with this condition typically experience a sudden onset of sharp, intense outer foot or ankle. Traditionally this avulsion fracture has been ascribed to the insertion of peroneus brevis and is caused by forcible inversion of the foot in plantar flexion radiographic features. An avulsion fracture happens at the most proximal end of the bone. While this injury needs to be distinguished from.
If not displaced or comminuted, these fractures uniformly heal well with.
You have sustained a fracture to the base of the 5th metatarsal of your foot, which is known as an avulsion fracture. This part of the bone is attached to tendon. 5th metatarsal fractures have been quite common among elite soccer players in the english premier league over the past five years. Early functional treatment of a 5th metatarsal fracture using an orthopedic boot. This can occur at the ligament by the application of forces external to the body (such as a fall or pull). Swiss surgery = schweizer chirurgie = chirurgie suisse = chirurgia svizzera. If not displaced or comminuted, these fractures uniformly heal well with. Metatarsal fracture avulsion fracture stress fracture jones fracture bow legged sprained ankle foot pain videos funny surgery. Most common fracture at base of 5th metatarsal. 5th metatarsal fractures account for almost one quarter of all metatarsal injuries, and most occur at the base of the bone. Distal radius fractures programme online course: Posted 7 years ago, 149 users are following. Patients with this condition typically experience a sudden onset of sharp, intense outer foot or ankle.
Funny Steve Bruce Quotes - Secret Santa Funny Quotes Quotesgram : Here are 155 of the best life quotes and images. . By promising to the pious. We've got to lick our wounds. Discover the magic of the internet at imgur, a community powered entertainment. Tony stark, steve rogers, bruce banner, thor odinson, clint barton, bucky barnes, loki odinson, peter parker, sam wilson, t'challa udaku, scott lang, and stephen. You never know how things are going to work out. But if you keep an open. Is there an avatar fan out there who doesn't when most people think of phrases associated with history, they think of the quote that history is written destiny is a funny thing. Poem quotes words quotes life quotes tattoo quotes qoutes life sayings funny quotes a poem she is quotes. It is undoubtedly true that religion is often socially conservative. Don't forget to confirm subscription in your email. ...
Best Eye Cream For 30S - Anti Wrinkle Eye Cream Look More Youthful Than Exactly What You Are : She adds that it's an especially good choice for women in their 30s who might be starting to see some noticeable issues around the eyes. . We're born with hyaluronic acid, but it declines as we reach our 30s, causing dryness and wrinkles. Anti wrinkle cream for oily skin. ΠΡΠ΅ΠΌ Π²ΠΎΠΊΡΡΠ³ Π³Π»Π°Π· ΠΏΡΠΎΡΠΈΠ² ΠΌΠΎΡΡΠΈΠ½ Ρ ΠΊΠΎΠ»Π»Π°Π³Π΅Π½ΠΎΠΌ ΠΈ ΠΌΡΡΠΈΠ½ΠΎΠΌ ΡΠ΅ΡΠ½ΠΎΠΉ ΡΠ»ΠΈΡΠΊΠΈ. Say goodbye to dark circles, puffiness, and bags. And while you might think you're free from the requirement if you're in your 20s or 30s, think again. Looking for the best eye cream to combat wrinkles, dark circles, and puffiness? Plus in your twenties and thirties. The eye cream contains black tea complex that inhibits damaging free radicals and helps improve skin elasticity. Charles looked to gels and serums, in favor of the classic eye cream from the jar. The 15 best eye creams for men, according to your age. ...
How Fast Can You Build Glutes : Glutes Dumbbell Workout in 2020 | Plyometric workout ... - Everyone wants to know how to grow their glutes fast. . Are you weak in the glutes? How to build, stretch & activate your glute muscles. You should feel the contraction with your hand and your glute …and we'll show you step by step how to transform your body as fast as possible with science. Glutes are often worked with legs. If you think you're doing everything above and you feel like your glutes aren't growing still, there's porbably something off and you could save yourself a lot of time and trouble by investing in a. Stack expert dalton oliver explains how to develop the glutes and provides glute strengthening exercises to add to your training. Strong glutes enable speed, acceleration, and a swift conversion of energy from horizontal to literally thousands of exercises are available to the modern athlete, but without knowing how those enter training t...
Komentar
Posting Komentar